今日は1日まったりと自由時間にしてやる。そう決めました。
かと言って遠くにでかけるような金銭的余裕はまったくありませんので、溜まりまくったブログネタを少し片づけます。(溜まったネタを全部片づけるのと違うのかよーって突っ込みしないでね)
一部の人だけが熱心に反応してくれている乾癬のネタです。
おっさんの皮膚病ネタに意外に反応が多くて私もびっくりしています。
最初に断り書きです。
私と医師(先生)と看護師との会話を書いています。
文字通りそのままの言葉は覚えていませんが、おおむねこんな会話だったのよと記してます。
そんなにフランクな会話しているのかよ。と突っ込まれそうですが、そんなに脚色はしておりません。私の美化妄想もそんなに盛ったつもりもありません。
関西という土地柄、真面目な会話をするほど不思議な笑いが起きて受け入れられているというのをご理解の上で読んでください。
関西の人はこの会話のやりとりわかるでしょ?
他所ではどうなのかな?病院は真剣にまじめなところで静かにと決め込んでいる人には信じられないかもしれませんが、まあー私の現実はこんな感じなんてすよ。
えーと、前回の乾癬に関する実行結果ネタは、初めての大病院へ行ったことでしたね。

今思えば大病院初日の先生からの提案とその選択が大きく今後を変えていたんだろうと思います。
その先生から出された提案はブログに書いてなかったね。
大病院初日で先生から出された提案は次の3案です。
- 今までどおり漫然と薬を塗って治療、どれが効き目があるか1週間単位で薬を変えていく
- 明日にでも入院を前提として精密検査。入院したらなんなりと皮膚の症状に聞く魔法の点滴をぷっこんでとりあえず症状を抑えてから本丸を探って潰しに行く
- 現在の治療を中断。免疫抑制剤が切れるので病気だがバクテリアだがカビだかいろんなやつが暴れるのだけど、それを身体がもっている本来の治癒力がどう対処するかを試す。それで残ったやつを本丸として潰しに行くのだが…。2週間後に犯人捜しのために生検しよう
私はさらりと、「そりゃー治療中断でしょう。中断しても死なんでしょ」との返答です。
先生から「本当にいいの?今までした治療が無駄になるかもしれんよ?最初の状態にもどるかもしれんよ」と念押し確認をされたのですが…。先生の顔はにんまりしているんです。
私は思うのよ、この先生は研究肌の人だって。そういう私も職業柄、分析と問題定義大好きのどっちかというと研究肌部類だと思ってます。なのでウマが合いそうと思ったのは本音です。
そして先生からの提案。「生検のために塗り薬も止めてほしい。でも全部止めるよりは塗り薬を塗る箇所と塗らない箇所を作って、その塗り薬がどの程度効いているかの判断もしたいねん。塗り分けどう?」
いやいや、私もそれしたいと思ったところで先に先生から言われてしまった。ということで薬塗り分け案も採用です。
以前のブログ記事で書き漏れていた大事な要素を追記終了ね。
ではでは…
2022年3月15日、大病院ではないですよ。近所のかかりつけ医へ特定検診を受けにいきます。
というのは….。もともとから3月に特定検診を受けるつもりでいました。
大病院1回目の通院のときに、特定検診を受けていいのか?コロナワクチン受けていいのか?を確認しています。
大病院の先生より、免疫抑制剤を止めて、生検手術直前に特定検診を受けてほしいとの提案があったのです。免疫抑制剤を止めて13日目、かつ生検手術前日の血液検査が見れる。というのが狙いだったんです。
もちろん私もその案に賛成でして、計画通りに特定検診へ行きました。
いつものかかりつけ病院です。女医さんが担当してくれました。
「先生….。私….。服を脱いだら凄いんです。恥ずかしいんです(超絶含み笑い)」をして先生の前に出ます。
「なにがや。お腹をめっちゃ膨らまして太って来たんか?」と突っ込まれつつ…
服を脱いだら「ワオーッ」ってことで、女医さんの玩具にされました。
まあーねー。ウォーキングで病院の前を通って出くわしたら挨拶しているていどのつきあいなんだけど、先生は私のことは知っていた。そやつの服の中がこんなことになっていようとは….。
「うつる病気ではないと言われているよ」
「そんなの見たらわかるよ。これはうつるタイプちゃうちゃう。帯状疱疹みたいな出方しているところあるよなー。これは尋常性乾癬とタイプ違うよ。今の皮膚医院が乾癬って言うてんのん?」
「ちゃうちゃう。地元の皮膚医院で乾癬って言われて免疫抑制剤出されてん。あげくにXX病院へ捨てられてさー、薬疹疑いかけられて犯人捜索中やでー」
「免疫抑制剤の時に血液検査を定期的にしているやろ。それ持ってきてるか?」
「最初に1回しただけや。その検査結果持ってきているよ」
「ちゃうちゃう。2週おきぐらいに検査しているやろ?それも出して見せてよ」
「そんなんないよ。最初に血液検査して、その日から免疫抑制剤を2か月飲み続けて途中は一切検査無し、薬やり続けてこの体ができあがった」
「なんじゃそりゃーっ」
という、わーわーというしょうもない会話をしつつ….
「心電図の写しをくれ。XX病院へ提出したい。」というとゲットできた。
ではでは….
2022年3月16日、大病院へ通院2回目です。検体摘出手術ですよ。
生検するために、なるだけ薬に影響されていないピュアな状態の患部を段取りしています。
具体的には次の3か所
- 左胸心臓周辺(乳首から上。鎖骨から下)、先生の希望箇所
- 背中左半分(ウエストラインから上。肩甲骨から下)、先生の希望箇所
- 左上腕の発疹箇所、私の判断
先生の希望は左胸と左腹部を塗り薬断ってくれだったのだけど、自動車運転でシートベルトが当たるところだけは避けてくれと私が要望だして心臓周辺となったものです。
左上腕箇所は免疫抑制剤治療中でも元気はつらつな発疹がいたので、こやつを育ててみようと私の好奇心でした。
採用箇所は、「左上腕の発疹箇所」です。理由は、発疹単体で存在し輪郭くっきり、輪郭外の皮膚が健全に見えるから。
先生は最初の原発箇所を、背中か、みぞおち辺りだろうと推論して原発周辺の患部がよかろうと推論だったらしいのだが、免疫抑制剤とステロイドが効いていて2週間では健全な病巣になったように見えないので却下としました。
「で、何か所切るの?」って質問に、腕を1か所ね。マークするから腕をこっちへ出して…。
腕に落書きをする先生に、「背中とか複数の部位と比較せーへんのん?」って真面目に尋ねる私です。だって、数か所切除して比較多数決して推論追求するかと思っていたのよね。
先生から「数の論理ちゃうで。なるだけ他の症状と交じっていない純粋な発疹を取り出して、そやつを絞り込むのが生検やで。だからピュアなやつ1個をみつめてまずは結論だすねんで」という感じの返答です。
「そうかー雑種でぐちゃぐちゃに暴れているやつより単独兵が解析しやすいんやな」とか、当たり前のことを口にして先生と雑談しながら生検手術の段取りが進みました。
そうそう2週間免疫抑制剤を立ち、塗り薬のドボベットが効いているかどうかの塗り分けテスト結果です。
私の目ではあまり効いていないように思えているのですが….
先生の目は「この薬はよく効いている」だそうです。
「うそーっ。こんな感じの症状がよく効いているんかいな?これってきれいな肌になるまで遠い宇宙の旅ちゃうん?」って再確認ですよ。
「薬がよく効いているやつと、効いてないやつがおるねん。つまり2種類のように見えるんや。」って…
それって生検2種類つまり2か所せなあかんのちゃうん?って突っ込むのが私の性分です。
「薬効いているほうは生検せんでもええねん。この薬でこのように反応するってことでそやつの犯人はだいだいわかる。それはええねん。ドボベットに打ち勝っているやつや。こやつが今の本丸や。」って関西温和会話しながらも目つきが真面目だよ。
次の実験提案(指令?)が出ました。塗り薬を変えてみよう。ドボベットより危険指数の低いドボネックスというやつ。ステロイドが入っていないタイプでそやつの方が効くと思う。ステロイドがないので体の負担も軽減されるしね。
ただし、「思う」なんですよ。先生の経験からのようです。外れて発疹が酷くなったら許してよ。でも今後の治療を考えると試してみる価値あるよ。とのことで….
はい。私も興味あるのでその提案に尻尾振ってワンワンです。
特定検診でゲットした心電図を渡す。皮膚科に関係ないだろうと思ったら、先生は喜んでフムフムと見ながらチェックをつけている。
「心電図からなにかわかるのん?」って私。
「いろいろと推論できるよ。心臓の状態もだけど、太い血管に毛細血管がこうなっているんだろうなというのも推論できる。皮膚と腸の判断に重要な武器になるよん」って言われて、持参してよかったと思う。
先生から、生検担当に指示が回ります。
昼休みをはさんで生検手術です。
腕の皮膚をめくって切るだけだと思ってます。そんなの腕を出して私の目の前でサクッと切ってみせてくれるのだろう。執刀医に無駄話して怒られるのだろうかと考えていたのです。
私の考えは甘ちゃんでした。なんと….
手術台に寝かされました。手術台の周りに拘束具もあるんです。
まさか、ここでSMプレイされて興奮と苦悩に悶える最中に切られるのだろうかと不安と期待がよぎります。
「はーい。服脱いでねー。」って看護師に指示されます。
「あれっ?なが~ンさんは胸か背中の生検ってなってなかった?」って確認されました。
「それって前回の計画で、今日の話で私が愛でてきたきた腕のやつが採用になってん?。ところでなんで胸と背中って話し知っているのん?」
「だって、なが~ンさんの初診は斬新だったよ。楽しそうに診察する患者ってそうそういないよ。患者からレポートでたよって看護師に知れ渡っているって」
…..。俺って無駄な変態患者として認知されたってことか(笑)
腕をすごい大きい範囲まで消毒されました。実質、肩から手の平までまんべんなく脱脂綿で消毒です。「こそぱいやん。感じるやん。ザブイボ立ったらどうするん?」って言う私に、看護時は笑いながら「ええねん。笑っていいからサブイボ出していいから消毒させて」って…
「消毒できましたーお願いしまーす」って呼んだら、執刀医が登場。
なんと執刀医が女医だった。おらの予想斜め上だー。
線の細いボティーのかっちょいい執刀医が、目力バッチシで私の目を見て執刀内容の説明です。
淡々と冷酷に施術と今後のリスクを説明する執刀医。それに対して「こんな手術台乗ったの初めてやん。そんな大それたオペするのん?」って事の大げさに金玉縮み上げて尋ねる私。
執刀医の態度が変わった。目じりが柔らかくなった。
「大丈夫ですよ。麻酔は痛いよ。メスいれているときはモゾモゾするよ。縫合のときはきっと感覚ないよ。私に任せてください」って態度が緩くなった。
「説明終わり。執刀の段取りするね。」って、道具台に道具を並べている。なにやらチャプチャプと水の音もする。ちぎっているような音もする。
気になるやん。寝かされている私から見えない高い位置に作業台あるやん。見えないやん。
「メス見たいよ。今は自分の仕事しやすいように機材並べているところ?」って思わず口走る私ってバカなんでしょうか?
執刀医ではなく看護師が笑ったよ。
執刀医から、「そやねん。段取り中。さっさと仕事終えたいから並べているんよ」
「さあー作業するよー。ベット動かすよー。」って言うと同時に手術台が動いた。驚いた。
上下左右に動く台の上で私はマグロなんだけど….
ちょっと横に外れたところに大きい無影灯(影の出ない電灯ね。そのぐらいの器具名は私でも知っている)のところで止まったよ。
「電灯付けるよー」って、いやーっ明るいよー。
「さらに電灯付けるよー」って補助灯が付いた。
その眩しい灯に、さらにさらに金玉が縮こまる私です。
「先生、めっちゃすごいことするのん?」って心細くなって尋ねるのよ。
「はいはい。大丈夫よー。手術用の布かぶせるよー。」って重たい大きい布が乗せられた。もう私の視界からは患部が見えないよ。
「麻酔するよー。痛いよー。我慢してよー。カウントダウンするよー。1.2.3.4」って…
4.3.2.1って減るんとちゃうんかー、って思ったときにはブスッってやられた。
「薬入れてるよー。気分悪くなーい」ってやっと尋ねてくれた。ここはチャーンス。「来てる来てるよー。モアーってダークマター来てるよー」。
クスクス「笑かしたらあかんよ。真面目にしているんやからね」って優しく怒られた。
3か所ぐらいプスーッてやられる。一応黙る努力を…
注射が終わってすぐに腕を握られたまま(多分、脈とか見ているんだろうなー)、「気分悪くない?しゃべれる?」って確認される。
「やったーしゃべってええのん?大丈夫よん。腕がモアモアのパンパンのパーンって感じだよ」って返答したと思う。めっちゃ笑われた。
「今なーゴネゴネしているんやけど痛くない?」って再確認。すでに麻酔が効いているらしい。
「麻酔効いているか確認するでー。針さすでー。痛かったらいうてやー」というかさっきから違和感あんねんけど…
「なんか違和感あるよー」って返事したら、「ゴネゴネしているときに針で突いていたんよ。そのときから痛いって飛び上がらないからOKよ」ってどんなプレイよ。
「本番行くよー。笑かしたらあかんよ。絶対に腕動かしたらあかんよー。」って、メスが入った。
1切り目、2切り目、と切っていく感触あり。なにやらほじくっている感触もあり。
「気分悪くないよねー」って確認が来た。「今は、スイーって撫でるように切っているよね」って返答したら…。「撫でるようにはいらん。笑かしたらあかんよ。だまっといて」と言われてしまう。
「摘出終わったよー。縫合するよー。しゃべっていいよー」って許可が出た。
縫合中はいろいろと質問です。「血、どばーっ出てるのん?吹き出すのん?」「どれだけ切ったの?ザクザクいったみたいやけど?」とかなんとか。
縫合しながら的確に「うるさいおっちゃんやなー」って、おちゃらけて返答してくれますよ。そこが関西コミュニケーションってか?
「検体見せてくれる?分身見たいやん」これが私の本音です。
先生から「傷口がどうこうとちゃうのん?普通は傷口やで」
私から「先生の腕を信じるから傷口は綺麗なんやろ?だから気にならへん。それよりも、おらっちの分身がどんなんでどんな扱いされるのか気になるやん」
「ええよん。見せるよん」ってゴソゴソしてくれる。
「触らせへんよ。まだ寝ててよ。そのまま、これを見てよ」って、目の前で瓶を回しながら見せてくれた。
瓶の中で、透明な液体に溺れている分身。
分身はまるで小さい豚の角煮。
えっ?豚の角煮って形をして見えてるじゃん。と思い「皮だけちゃうよね。肉持っていってる?」って質問です。
「皮膚と脂肪を取ったよ、筋肉から上を削ぎ取っていると思ってね。だから傷口は小さくとも深いよ。見える?照明の陰になって見えへんかな?あなたは動いたらあかんよ。そのままでいてよ」って、腕を伸ばして私の顔を通り越して反対の方向からも瓶の底からと横からを見せてくれる。
「こやつを切り刻んで、なにが出るかな?(もちろん、心の中ではあの節が流れている)、やんな?」って確認したのは言うまでもない。
「検体はXX先生の指示で病理へ行くのよね。私は切り取りするところまでよ。今後の傷口処置も私じゃないよ。はい、これで私の仕事は終了です」
ということで、執刀医は跡片付けが始まった。
ニコニコしながら看護師登場。「おつかれさまでした」って、なんで含み笑いなんだよ。
「まだ寝ててね」と言われ、傷口を綿とテーピングです。
「今日はこのままで明日に今後の処置を説明しますねー。はい起き上がって服を着てくださーい」って終了ですね。
服を着つつ執刀医を見回すが、もう周りにいません。執刀医はどうしたん?って確認したら、次のオペに移動しました。とのことで…
くそーっ執刀医のご尊顔をしっかり見ることがなかったぜー。悔しいぞー(笑)
帰宅してからです。自動車を運転して帰宅してますよ。
服を脱いだら、傷口を保護していたテープが剥がれていた。というかセーターの袖の中でゴロゴロしていたよ。これはチャンスで撮影しておこう。

剥がれた理由は、自動車運転にてマニュアルミッション操作でけっこう腕を動かしているのよね。その腕の動きにテープが追従できなかったってことでせう。

仕方がない、上から塗装用マスキングテープをぐるぐる巻きにして対処するよ。

さてさて…
2022年3月17日、大病院へ通院3回目です。検体摘出手術縫合後の確認です。
マスキングテープでぐるぐる巻きの腕を出します。
看護師が驚きと含み笑いです。私から「ここは笑うとこでしょ」っていうと、ハハハとなる。
「昨日帰宅したら剥がれとってん。だからテープぐるぐるしてきた」って説明です。
看護師が慎重にはがし始めるのですが、塗装用のマスキングテープなので綺麗に簡単に剥がれます。
看護師から逆突っ込みあり。「このテープってなんなん?綺麗にはがれるやん。貼り付けたらしっかり付くやん。」って、自分の手の甲にペタペタと確認されている…
まあーそのー、マスキングテープで無駄話をしつつも、これから1週間を自分で切開部分の消毒をこうするんやでと指導されます。縫合部位はとっても綺麗で問題なしとの結果が出ました。
私が「えーっ」って不平を言ったのは、傷口を保護するオプサイトという絆創膏のようなものを買って処置しろってこと。
その絆創膏のようなものを自分でどこかで買ってこい、病院で処方はしない。とのことで….。
とりあえず病院入り口横の医療購買で売っているから。と説明された。
まさか、治療に必要な物を自分でよそで買えと言われるとは思ってもみなかったので念押し確認したよ。
オプサイトでなくてもいいよ。バンドエイドでもいいよ。
傷口部分を保護するものが付いていること、かつ、余計な薬が付いていないもの。しかし、自分治癒力で治す系の密着バンドエイドはダメだよ。
さらに、私の場合は免疫抑制剤とステロイドのせいで皮膚が薄くなっている。
質の悪い絆創膏を用いると剥がすときに皮膚まで一緒に削ぎ剥がれかねないので、ちゃんとしたメーカーのものにしてね。
おーい。ある意味で面倒だぞー。
とかなんとかで、終了でした。
さてさて…
2022年3月19日、大病院ではないですよ。近所のかかりつけ医へ特定検診の結果を聞きに行きます。
今度はじいちやん院長先生です。
「私….。服を脱いだら凄いんです….」、のくだりは省略ね。
院長先生も興味深々です。
院長先生の口から出た驚きの言葉は….
「2回目コロナワクチン終えてから初回発症まで3ケ月ってとこだな。コロナワクチンと帯状疱疹が云々って噂があるのよ。3か月なら微妙だなー」
「帯状疱疹をこじらせたときと似ているなー。それなら神経とかリンパとかも可能性も…」って怖いことをさらりという。
「乾癬のふくらみはこんな優しいものではないので乾癬とは違うだろう。貨幣型なんとかとも違う。脂漏性皮膚炎はもっと油っけがあってとにかくおっさん臭いはずだからそれとも違う。ジベルバラ色皮膚炎ってのがあって云々、ここを見るとアレのようでここを見るとソレのようで….」って、いろんな知識を出してから、内科にはわからんわ。これは専門家判定案件に間違いなし。
しかし、この程度のことで本当に免疫抑制剤を飲んでたのか?リュウマチ持ちちゃうよね?って再確認されちゃったよ。
とかで、院長先生に遊ばれて特定検診は終了です。
さてさて…
2022年3月20日、とくにどこかへ通院したわけではありません。
仕事で使う、カラーコピー機が欲しいなー、カラープリンターが欲しいなーと去年からあちこちに言いふらしてました。
年度末になって、知人の知人から機種入れ替え放出です。その方は安く処分できる方法はないかと皆に言いふらしていたとのことで…..
私と貴方がビッタンコです。仲介の知人経由でカラーレーザー複合機が私のところへ来ました。
ただし、私が引き取りに行かなければなりません。ようするに力仕事ですね。
カラーレーザー複合機と、写真画質A3インクジェットプリンターを運搬です。私一人でウンショウンショとお相撲さん仕事です。
夜の風呂上りに手術縫合場所のメンテナンスです。
ガーン。縫合糸ですよ。3針縫っているうちの真ん中が切れてます。
はうーっ。って落ち込みますが、傷口が開いているわけではないのでそのまま放置とします。
切れた縫合糸が「ピョーン」って主張しますよ。まるで猫のヒゲです。

消毒処置して絆創膏をぺったんしたら、猫ヒゲがチクチクとするのよね。
さてさて…
2022年3月23日、大病院へ通院4回目です。検体摘出手術縫合の抜糸と、塗り薬の効き目確認です。
と、ここまでで前回の治療から初めた新しい薬はどんなのかという写真です。

こいつらで1週間を過ごしました。
では本題ですよ。
抜糸から始まりました。
服を脱ぎながら「糸が切れて猫ヒゲびょーんなのよ」って説明します。看護師たちが「猫ヒゲなん?どんなん?」ってクスクス笑い。
絆創膏が剥がされて確認です。
綺麗に治っているとのこと、猫ヒゲになっているが接合部問題なし。
「このまま糸を抜くよ。まずは猫ヒゲ引っ張るよ。」するりと面白いように抜けるのね。
残りはハサミを入れて「ぱっつん」って結構な音がするのよ。
「この糸って、もしかして丈夫なの?そんなのが切れるの?」って無駄口を言うのが私です。
「腕だしねー、男性だしねー。丈夫な糸を使っているんだけどねー。」
「反対の腕を上げて曲げてみてよ」「筋肉あるよねー。力入れてなくてそれでしょ。力仕事したんでしょ?だから切れたのよ」
とかで、私が力仕事したので縫合糸が耐えられなくて切れたってことらしいです。
ともかく縫合箇所の口が開いてなくてよかった。
で、これで縫合箇所は終了。そのうちにキズ後は無くなるさ。ってのが私の考えだったのだけど….
看護師から信じられない言葉です。
「こういうマイクロポアテープにて3か月間傷口を貼り付けておいてください」って不思議な色のテープを見せられる。
予想外すぎるよ。テープを貼るのもだけど3か月もかよ。もちろん口をとんがらせて関西弁をまくしたて再確認しましたよ。
「かなり深いところまでメスが入ってます。今はくっついてますが、まだしっかり融合していません。口を広げるように力が加われば裂けて割れて口が開く可能性が高いです。3か月をお勧めしますが、せめて2か月は傷口にテープを….。云云かんぬん」
さらにですよ。そのマイクロポアテープなるものも、自力でどこかで購入するようにとのことです。
それを聞いて私の脳みそがプチ「ボア」されてしまいました。
はい、次は本命の診察ですよ。
先生から呼び出されて診察室に「失礼します」ってゆっくりと侵入したら…
「いらっしゃーい。待ってたよー。さあー、服脱いで見せてよー」
って、あなた、いきなりそういう文言からスタートかい。
なにやら先生のテンションあがってます。一緒に私もテンション上げていこう。
私の裸体を見つめて…。「良かったー、できものバリバリで酷くなっていたらどうしようって思っていたのよ」って、まあーお互い納得しての実験だったしねー。
結論は、ドポネックス軟膏は効いている。確かに今回は私の目でみても良く効いているんです。
特定検診の血液検査提出。その結果を見て先生は喜んでいる。
ということで、このままドポネックスを塗ることを継続です。
さて、次回は….。
生検結果報告です。それまでの3週間はドポネックスを塗って様子を見るです。
ちなみに先生から初めて病名を聞き出せました。ただし、病理結果を見ていないので推論だけだよとの断りつきです。
先生の口から「うにゃうにゃと睨んでるねん。それならこの薬で行けるんちゃうかなって試してもらってん。生検結果を楽しみにしといてやー」
うにゃうにゃはまだ秘密ね。医師としては病名確定するまでは言うたらあかんらしいです。でも雑談だからねーって出てきました。雑談なのでブログには書かないね。
で、それと確定したときの今後のプランもちょろちょろと。えーっ、そんなに通うことになるのん?うそーん。
ということで、この日はお楽しみネタをもらって終了です。
これから3週間に使うお薬です。

生検の費用もだけど、薬代もバカにできません。皮膚に使う薬ってなんでこんなに高いのよ。
そうそう、帰宅してからです。夜の半額食品ゲットツアーにて、私の思考をボアしたテープを求めて後輩とドライブです。
ドラッグストアーで売っているようで売っていないテープです。
単に仮固定するテープならいくらでもあるんだけど、傷口の上に直接貼っていいボアテープはないのよね。まあー、それも地方都市だから置いていないのかもね。
ここで最後というお店で見つけました。22mm幅で3M社の製品です。3Mのメーカーは車弄りでも私の本行でも大活躍のメーカーなので問題なし。
えーと5mで390円ってか?今ならTポイント40ポイント返しってか。よし、これを買おう。

就寝前です。使ってみよう。嫁とウキウキして茶色いテープを弄ります。
腕に貼ります。付かへんやーん。腕曲げて筋肉出たら一瞬でデビールってべきべきと剥げるやーん。
ともかく一周ぐるっと巻き付けることで貼り付け固定に成功です。
こんなに高価なテープを一周貼り付けていくオペレーションって費用かかるやーん。3か月もやり続けろと….。
看護師から数日貼りつ付けても大丈夫っていわれたけど、看護師が施したテープは帰宅したらすでに剥げてたやーん。
嫁から言われる「この筋肉があかんねん。筋肉落さなあかんねんで。そんなバカな」
はい、バカ夫婦はバカな話題をしながら寝床へ潜るのでした。
さてさて…
2022年3月24日です。久しぶりに裸体写真を出すか。
数人の熱心な方から「その後どうなってん。写真を見たい」と熱烈コールがあるのよね。
それに答えるだけの変化があるといえばあるのかなー。とか思いつつも嫁に撮影してもらいました。
さあー、オッサンの汚い裸体が登場するよー。
汚い体を見て嫌悪感を抱きそうって方はここから先は見ないでよ。
一応、改行連打して行送りしておくねー。
・
・
・
・
・
・
・(まだ改行しておこう)
・
・
・
・
・
・
・
・
・
・
・
・
はい。写真でーす。

おーい。体が曲がって撮影されているじゃん。
嫁に「俺の体まっすぐか?肩の位置はこれでええんか?」と確認して、嫁からあっちをこうしてこっちをこうして微調整指示があってポーズしたのに曲がっているやん。バカ野郎。

我ながら汚い体と思います。吐き気する人がおられたらすいません。
大変なものを見つめてしまったと自分の行いを悔いてください(笑)。
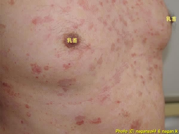
以前に写真だしたでしょ。そのときはみぞおち辺りはカラフルなモザイク柄だったでしょ。覚えている?
そのカラフルモザイクだったものがモノトーンになってきたと思いません?

でもブツブツが、赤いやつが散見しているのよね。
白く抜けていた箇所です。その空白地区の中央に赤いやつが出現する箇所があるのよ。

空白のままのものもあるので、ずーっと下の方にやつがまだ潜んでいるということなんでしょうか?
赤い領土で不思議デザインの赤い島を表現していた箇所は、中央に丸い赤いやつを残して周辺は皮膚の色に返ろうとしています。

新しい発疹箇所です。きっと本丸はこういう体裁で出現していたってことでしょうね。

赤い島として出現するものもあれば、小さい星を多数かかえて星団のように出現するやつもいます。

皮膚が薄いってのは次の写真でわかってもらえますか?発疹部の周りに皮膚の下の赤い予備軍のようなやつが透けて見えているんよ。

そうそう。生検摘出手術の抜糸跡です。

赤い発疹部分を真ん中で切断摘出しているので半分が残っています。
切開部分はきれいにくっついているでしょ。
以上、オッサンの汚い裸体写真はこの程度にしますね。
次回はいつに皮膚病のネタを出すかは….。
そして、この皮膚病が激貧家庭の家計を苦しめて、いつに私が発狂するかは….。
まあー、そのー。私にもわかりません。

コメント
お見舞い
長く苦しい思いをされたのですね。
御見舞いもうしあげます。
こんなに体中・・・痒みがたまらなかったのでは?
湿疹とか簡単な物ではなさそうで・・・?
私も以前2回程体中に蕁麻疹が出て痒くて
皮膚科で注射してもらって痒みがスーっと消えました。
そんな簡単なご病気ではなさそうですね。
気長にご養生なさって・・快方へ向かわれることを
祈ってやみません。
これからですよね
テイタイムryoさん、コメントありがとうございます。
去年のクリスマスにサンタクロースが暮れたプレゼントがこの皮膚病です。
私もなにかにかぶれて湿疹が一機にでたんだろう。こんなの注射2回ぐらいのコースでお手軽に治るんだろう。って思ってました。
具体的な発症箇所に気づいてから、体に広がるまでに2週間でした。ますます湿疹かと思ったのよね。
近所の皮膚科に行ったら「尋常性乾癬」と言われてなんじゃそれ?「免疫抑制剤」ってそんなたいそうな薬飲まなあかんのかよ。から始まるこの苦悩です。
大病院では「乾癬」ではないだろうと見越して検査に入ってます。それも免疫抑制剤がかなり症状を悪くしているらしいです。
通常の皮膚生検って2週間なんだけど、私のやつは4週間病理検査するとのことで….
こりゃー、やばいやつとの見極め壁一枚のところなんだろうなーとプチ覚悟をしております。
気長に養生を~
こんばんは、
病院の診察違いが一つ間違えば
大変なことになりますね。
大病院でしっかり気長に治療されるように~
お大事にネ!